CABINET DENTAIRE DU DR SANDRINE RIBES
Chirurgien-Dentiste
CABINET DENTAIRE DU DR SANDRINE RIBES
Chirurgien-Dentiste

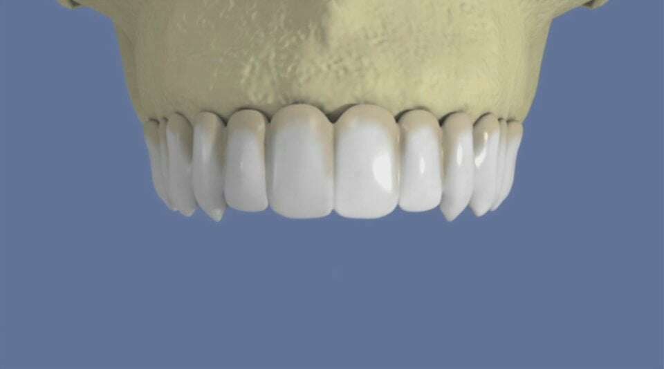
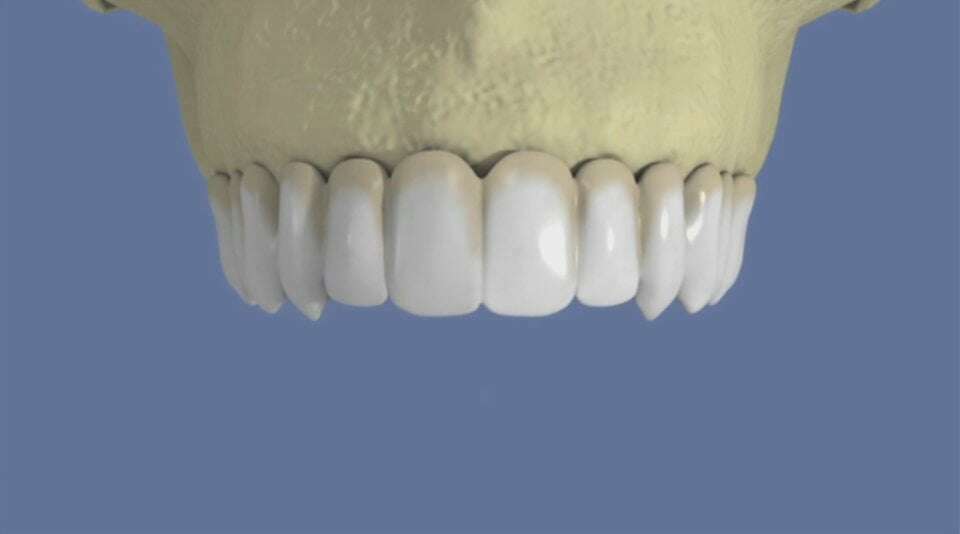
Maxillaire : bridge vissé sans fausse gencive


video-play-icon

Articles similaires

Catégories

Création par Webdentiste

Connexion